- 目立たず快適な入れ歯をご提案します
- 当院の入れ歯専門治療の特徴
- 「やわかくソフトな」入れ歯
- 入れ歯治療とは?
- 部分入れ歯と総入れ歯の違い
- 見た目にこだわる方へ
- 入れ歯を作り直したい方へ
- よくある入れ歯のトラブル
- 入れ歯のメンテナンスと長持ちさせるコツ
- 他の治療法との比較
- 入れ歯治療の流れ
- 費用についてのご案内
- 当院が選ばれる理由
- 入れ歯治療のビフォーアフター症例紹介
- よくある質問
- ご予約・お問い合わせ方法
- まとめ
目立たず快適な入れ歯をご提案します
入れ歯と聞くと、「目立つ」、「合わない」、「外れる」、「噛みにくい」といったネガティブなイメージを持たれる方が多いかもしれません。しかし、現代の入れ歯は日々進化しています。
見た目が自然で、装着感も快適な「目立たない入れ歯」や「バネなし入れ歯」、当院だけの粘弾性復元樹脂を用いた「やわらかくソフトな入れ歯」など、患者様のライフスタイルに合わせた選択肢が広がっています。
広瀬通り歯科クリニックでは、40年間入れ歯を専門に治療してきた院長が、従来の入れ歯に不満を感じている方や、初めて入れ歯を作られる方にも安心していただける、専門的な入れ歯治療を提供しております。部分入れ歯から総入れ歯、見た目にこだわった審美性の高い入れ歯まで、豊富な経験と技術で、お一人おひとりに最適なご提案をしています。
広瀬通り歯科クリニックはすべての患者さんに対して、医院貸切のプライベート診療を行っています。ほかの誰とも逢わずに、安心して治療を受けていただけます。
当院の入れ歯専門治療の特徴
仙台で「目立たない」入れ歯の専門治療なら当院へ
貸切り状態のプライベート診療
性別や年齢を問わず、ご自身のお口の状態を他の方に知られることはつらいものです。そこで当院では、ほぼ貸切り状態のプライベート診療を全ての方に行っており、他の患者さんとお会いすることはほとんどありません。
そこで、当院の入れ歯は若年層にも選ばれています。事故や病気で歯を失った方、外科処置あるいは経済的にインプラントには抵抗がある方など、幅広い年代のニーズに応えることができるのが当院の強みです。
精密な型取りとカスタム設計
当院では、入れ歯専門の院長と入れ歯づくり一筋のスペシャリストである歯科技工士が連携し、精密な型取りを行ったうえで、患者様の口腔にぴったりフィットする入れ歯を製作しています。一般的な型取りとは違い、顔全体の筋肉の動き、咀嚼時の圧力、顎の可動域なども細かくチェック!
その結果、お一人おひとりの状態に合わせた外れにくく、痛みが出にくい入れ歯が完成します。見た目にも美しく、違和感が少ないため、長時間の装着でも疲れにくいのが特長です。
患者様に合わせたフルオーダーメイド入れ歯
入れ歯治療において当院が重視しているのが「個別対応」です。同じ形の口腔環境は二つと存在しません。そのため当院では、入れ歯の素材・デザイン・噛み合わせの位置や高さまで細かくカスタマイズします。
患者さんのご希望に応じて、審美性重視、機能性重視、コスト重視など、様々なニーズにお応えできるプランをご用意しております。また、完成後のアフターフォローも万全。修理や調整にも迅速に対応いたします。
仙台で「やわかくソフトな」入れ歯の専門治療なら当院へ
当院だけのオリジナル粘弾性復元樹脂
石川県金沢市の入れ歯専門技工所である「金沢歯科技研」と広瀬通り歯科クリニックが共同で設計した「EK DentureBase」を使用する入れ歯をご提供します。この「EK DentureBase」は当院だけのオリジナル素材で、最初は透明色ですが、よく噛めて力がかかってくると白色に変化してきます。粘弾性(やわらかいクッション効果)を持ち、歯ぐきを優しく保護して守るタイプの粘弾性復元樹脂です。
「EK DentureBase入れ歯」を入れた直後
すべて透明色で覆われている
装着3ヶ月後
よく噛めている側は白色に変化している
穏やかなクッション効果で噛む力が増えます。「噛めない・話せない・笑えない」入れ歯とはさよならしませんか?
いままでのシリコーン入れ歯とは違って長持ち
「EK DentureBase入れ歯」は、入れ歯にシリコーンを貼り付けた「シリコーン入れ歯」とは違って、材料の変質や劣化はほとんどありません。「シリコーン入れ歯」のようにシリコーンが剥がれたり、預かり修理に時間がかかったりすることはありません。
「EK DentureBase」はもともとの硬いピンク色(歯肉色)の樹脂(レジン)と同じ素材ですので剥がれることはなく、入れ歯と同じ耐久性を持ち、修理や調整にも迅速に対応できます。シリコーンが剥がれたり、汚れやすかった「シリコーン入れ歯」にお困りの方には朗報です!
粘弾性復元樹脂のため、曲げても元通りに!
(金沢歯科技研よりご提供)
入れ歯のピンク色の樹脂と化学的に結合します!
(金沢歯科技研よりご提供)
入れ歯治療とは?
歯を失った方への選択肢
入れ歯の基本
歯を失った場合の治療法として、入れ歯(義歯)は長年に渡って選ばれてきました。とくに高齢の方や、外科的なインプラント手術に抵抗がある方にとって、入れ歯は身体に優しい選択肢です。
入れ歯には「取り外し式」という特長を持ち、口腔内を清潔に保ちやすいのがメリットです。また、素材の進化で最近の入れ歯は、軽量で目立ちにくく、自然な見た目を実現するものとなっています。
入れ歯の種類とその違い
入れ歯にはおもに2つに分けられます。
1.部分入れ歯
残っている歯に引っかけて、失ってしまった歯を補うもの。失ってしまった歯が一部である方に適応されます。
2.総入れ歯
上下のどちらか、もしくは両方の歯をすべて失ってしまった方に適用するタイプです。
最近では金属のバネがない「ノンクラスプデンチャー」や、より強度のある金属床タイプ、柔らかくて痛みを軽減するやわらかいソフトな入れ歯(「EK DentureBase入れ歯」)など、種類も豊富です。
部分入れ歯と総入れ歯の違いを詳しく解説
部分入れ歯の適応ケース
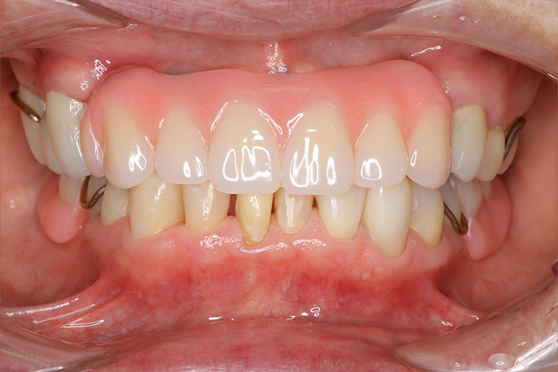
部分入れ歯は、歯が数本失われた状態に対応する治療です。周囲の歯に金属または樹脂製のフックをかけて入れ歯を支える仕組みとなっており、比較的簡単に装着・取り外しができます。
支えとなる健康な歯が残っていることが条件ですが、最近では支えとなる歯に過度な負担をかけず、見た目も美しい、目立たないタイプが主流になっています。
総入れ歯が必要なケースとその対応
一方で、すべての歯を失ってしまった場合には総入れ歯が必要になります。総入れ歯は、入れ歯の支えとなるご自身の歯がないため、粘膜の上に乗っかっている状態です。そのため、口の中全体を覆うとともに、噛み合わせや周囲の筋肉とのバランスがとても大切です。
当院では、患者さんそれぞれの噛み癖や顔の筋肉の動きまでを考慮し、「よく噛めて」・「痛くない」・「はずれない」快適な総入れ歯を目指しています。
上あご:総入れ歯、下あご:部分入れ歯のケース
見た目にこだわる方へ
目立たない入れ歯のご紹介
ノンクラスプデンチャー(バネなし部分入れ歯)
金属のバネが見えてしまう従来の部分入れ歯に対し、ノンクラスプデンチャーはバネが一切見えません。樹脂で歯ぐきにしっかりとフィットするこの入れ歯は、装着時の違和感も少なく、笑ったときにも自然な口元を演出できます。
カラーも歯ぐきに近いピンク色で作られるため、他人からはほとんど気づかれません。審美性を重視する方、接客業や人前に出る機会が多い方にも選ばれています。
審美性と機能性を両立したアップデイトな入れ歯
見た目だけでなく、しっかりと噛める機能も大切です。当院では、審美性と機能性の両立を目指し、見た目だけではなく、噛み合わせのバランスや入れ歯の安定性にも徹底的にこだわっています。
入れ歯を入れていることには、ほとんど気づかれません
精密アタッチメントで入れ歯を支えてもらいます
見えない部分は金属で補強し、しっかりと噛める機能を与えています
素材や設計は、入れ歯専門の歯科技工士と連携しながらカスタムメイドします。軽くて丈夫な入れ歯を提供することで、「しっかりと噛めるのに、付けているのを忘れるほど快適」という感動をお届けしています。
バネなし入れ歯の魅力とは?
金属バネがないメリット
今までの入れ歯の中には、笑った時や話したときに金属バネが見えてしまうという難点がありました。ノンクラスプデンチャーのようなバネなし入れ歯は、その悩みを解消してくれます。
金属バネがないことで、見た目が自然なのはもちろん、残っている歯への負担も少ないとされ、長期的に見ても健康的な口腔環境を維持できます。
軽くてフィットする快適な装着感
バネなし入れ歯は軽量かつ柔軟性の高い素材で作られているため、歯ぐきにぴったりとフィットします。「入れ歯がはずれやすい」、「痛くて長時間使えない」といった悩みを持つ方にも適用されます。
見た目を気にせず使えることから、外出時もストレスなく楽しめるようになります。自然な見た目だけでなく、装着感の良さも患者さんから高く評価されています。
入れ歯を作り直したい方へ
再製作のタイミングと注意点
このようなお悩みありませんか?
合わなくなった入れ歯のサイン
- 最近入れ歯が浮いてきた
- 噛むと痛い
- 発音がうまくできない
と感じる方、それは入れ歯が合わなくなってきたサインかもしれません。
入れ歯を長く使っていると、人工の歯がすり減っていきます。また歯ぐきや骨の形が変化し、入れ歯がフィットしにくくなるのです。
こうした症状を放置すると、口内炎やあごの痛み、頭痛などの原因にもなりかねません。違和感を覚えたら、まずは歯科医院に相談を。
入れ歯の寿命と定期的な見直し
一般的に、入れ歯の寿命は5~7年と言われています。しかし使用状況によっては、もっと早く調整や作り直しが必要になることもあります。
当院では、定期的な検診を通じて、入れ歯の状態や噛み合わせをチェック。必要に応じて微調整を行い、常に快適な状態を維持できるようサポートしています。
よくある入れ歯のトラブルとは?
痛みや外れやすさなど
入れ歯を使用していると、多くの方が経験するのが「痛み」・「はずれやすさ」・「違和感」といったトラブルです。とくに新しく作ったばかりの入れ歯は、慣れるまでに時間がかかることがありますが、それでも強い痛みや、頻繁に入れ歯が外れるようであれば何らかの問題があります。
原因としては、入れ歯が歯ぐきに合っていないことや、噛み合わせのバランスが悪いことが挙げられます。また、入れ歯の縁が長すぎたり、硬すぎたりする場合にも口内を傷つけ、痛みの原因となります。
トラブルの原因と対策法
こうした問題を未然に防ぐためには、入れ歯製作時の「精密な型取り」や「咬合調整(噛み合わせの調整)」が大切になってきます。当院では、40年の豊富な経験を持つ院長が患者さんお一人おひとりのや口の中を詳細にチェックし、快適に使える入れ歯をオーダーメイドで製作、治療しています。
また、トラブルが起きた場合でも、早期に対応することで大きな問題を防ぐことができます。痛みやズレを我慢せず、すぐにご相談いただくことが、快適な生活を保つための第一歩です。
入れ歯のメンテナンスと長持ちさせるコツ
毎日の正しいお手入れ方法
入れ歯は毎日のお手入れが大切です。入れ歯専用のブラシや洗浄剤を使って、優しく汚れを落とすことで、見た目の美しさと清潔感をキープしましょう。就寝時には外して保管し、乾燥を防ぐために水に浸しておくのもポイントです。
また、お手入れ中に落としたり強くこすったりすると、破損や変形の原因になるため、丁寧に扱ってください。洗面器にお水を溜めて、その上で洗浄してていただくと破損しづらいです。
当院ではご自宅で使用できるコードレス超音波洗浄装置もお薦めしています。
UV(紫外線)機能がついたコードレス超音波洗浄装置
定期検診の重要性
いくら丁寧にご使用いただいても、経年的変化により入れ歯が合わなくなることは避けられません。そのため、半年~1年に1回は定期検診を受けることをおすすめします。
当院では、入れ歯の状態をチェックし、必要に応じて微調整を実施しています。小さな違和感も放置せず、何なりとご相談ください。そして定期的なメンテナンスで快適な装着感をキープしましょう。
他の治療法との比較
インプラントとの違い
メリット・デメリット比較
入れ歯とよく比較される治療法として「インプラント」があります。インプラントは人工の歯根をあごの骨の中に埋め込み、その上に人工歯を装着する方法で、天然の歯に近い噛み心地が得られます。
上あご:全部インプラントのケース
一方、外科手術が必要であったり、治療費が高額となる場合もあるため、すべての方に適しているとは限りません。
入れ歯は手術の必要がなく、費用も比較的抑えられるのがメリット。とくにご高齢の方や持病をお持ちで手術に不安のある方には、入れ歯の方が安心して使用できる場合もあります。
入れ歯が適しているケースとは
- 複数の歯を多く失っている
- 外科的手術に抵抗がある
- 骨の状態がインプラントに不向き
- 短期間で歯の機能を回復したい
こうした方々には、入れ歯治療が最適な選択肢になります。当院では入れ歯もインプラントも両者を取り扱っているので、入れ歯かインプラントかでお悩みの方にも、丁寧なカウンセリングを通して最良の選択をご提案しています。
入れ歯は歯ぐきの上に乗っかっている状態で不安定のため、少数のインプラントを利用して入れ歯を安定させる、入れ歯とインプラントの併用(インプラントオーバーデンチャー、IOD)という方法もあります。
入れ歯治療の流れ
初診から装着までのステップ
カウンセリングから完成まで
入れ歯治療は、まず患者さんのお悩みやご希望をしっかりとお伺いするカウンセリング(初診無料相談)から始まります。
患者さんとじっくり相談させていただいた後、治療計画にご同意を受けた上で治療開始です。
精密な検査と型取りを行い、入れ歯を設計・製作します。
歯並びの仮合わせ(試着)と微調整を重ねながら、最終的に患者さんにとってベストな状態で装着できるよう進めていきます。
費用や期間の目安
費用や期間は使用する素材や設計内容によって異なります。通常、初診から完成までの期間は4~6週間程度。難症例であれば、さらに時間をかけて精密に仕上げていきます。
詳しくは初回カウンセリング時にしっかりとご説明いたします。
費用についてのご案内
料金プランと分割支払いの対応
広瀬通り歯科クリニックでは患者さんのニーズに合わせた明確で安心な料金プランを複数ご用意しています。初診時にお見積りを提示し、あとから予想外の請求が来ることはありません。
代表的な費用目安は以下の通りです。
| 入れ歯の種類 | 目安費用(税込) |
|---|---|
| 治療用入れ歯(暫間入れ歯) | ¥440,000 |
| 部分入れ歯:レジン床 | ¥270,000~¥660,000 |
| 部分入れ歯:金属床(Co-Cr) | ¥385,000~¥715,000 |
| 総入れ歯:レジン床 | ¥610,000 |
| 総入れ歯:金属床(Co-Cr) | ¥660,000 |
| 総入れ歯:金属床(Ti) | ¥715,000 |
| 総入れ歯:EKBase床 | ¥715,000 |
| 総入れ歯:BPS | ¥770,000 |
※上記は目安となります。症例により変動することをご了承ください。
さらに、当院では月々5,000円~の分割払いにも対応しています。デンタルローンやクレジットカード払いにも対応しており、無理なく理想の入れ歯生活を目指すことが可能です。
医療費控除についてのご案内
入れ歯治療の費用は、医療費控除の対象となります。医療費控除とは、入れ歯治療を含む1年間に支払ったすべての医療費が一定額を超える場合に、所得税の一部が戻ってくる制度です。
当院では、必要な書類(領収書や診断書など)の発行に対応しておりますので、お気軽にご相談ください。豊かな生活を送るための入れ歯治療を、より多くの方に受けていただけるよう、経済的な面でもしっかりとサポートいたします。
当院が選ばれる理由とは?
貸切り状態のプライベート診療
性別や年齢を問わず、ご自身のお口の状態を他の方に知られることはつらいものです。そこで当院では、ほぼ貸切り状態のプライベート診療を全ての方に行っており、他の患者さんとお会いすることはほとんどありません。
そこで、当院の入れ歯は若年層にも選ばれています。事故や病気で歯を失った方、外科処置あるいは経済的にインプラントには抵抗がある方など、幅広い年代のニーズに応えることができるのが当院の強みです。
入れ歯治療に特化した技術と設備
当院では、院長自身が入れ歯のすべての製作過程に関わり、入れ歯治療に関する40年間の豊富な実績と、アップデイトされた設備を導入しています。とくに「噛み合わせ」に重点を置いた治療を行っており、単に「入れておく」だけでなく、「しっかり噛める」・「自然に話せる」入れ歯治療を徹底しています。
3Dスキャナー(IOS)を用いた精密な診断も可能で、製作工程をデジタル化できます。これにより、ミリ単位での誤差も極力抑えた、快適で安定感のある入れ歯を提供することができます。
当院で使用している3Dスキャナー(IOS)
義歯プリント機器
丁寧なサポート体制
患者さんとのコミュニケーションを大切にし、不安や疑問をひとつひとつ丁寧に解消していきます。「説明がわかりやすく安心できた」・「無理に勧められず、自分に合う治療を選べた」など、多くの喜びの声をいただいています。
また、入れ歯を装着後のサポートも万全です。入れ歯の調整・修理にも迅速に対応し、長く快適にご使用いただけるようサポートいたします。
入れ歯治療のビフォーアフター症例紹介
実際の症例を紹介
百聞は一見にしかず。実際に広瀬通り歯科クリニックで入れ歯治療を受けた患者さんのビフォーアフター写真を掲載します。実際に当院で治療を受けた患者さんの状態をお見せすることで、多くの方の不安を取り除く手助けとなることでしよう。
症例1:40代女性/右下の奥歯が痛くて噛めない・インプラントは怖いので入れ歯希望
初診時および抜歯後



義歯装着後



| 治療概要 | 保存不可の下顎右側大臼歯の抜歯後、最小限の歯冠補綴処置を行って、下顎右側大臼歯欠損に対する部分床義歯を装着した |
|---|---|
| 入れ歯の種類 | 金属バネなしの部分入れ歯 |
| 治療期間 | 3ヶ月 |
| 治療回数 | 7回 |
| リスクと副作用 | 片側処理の部分床義歯であることから、義歯の回転による支台歯への負担が大きい |
| 費用 | 金属バネなしのレジン床部分入れ歯:27.5万円 |
症例2:60代女性/上前歯のさし歯がとれた・インプラントは怖いので入れ歯希望
初診時



前処置後



義歯装着後



| 治療概要 | 保存不可の上顎前歯の抜歯後、残存歯の歯冠補綴処置を行って、上顎前歯部と下両側大臼歯欠損に対する部分床義歯を装着した |
|---|---|
| 入れ歯の種類 | 目立たない部分入れ歯 |
| 治療期間 | 13ヶ月 |
| 治療回数 | 17回 |
| リスクと副作用 | 前後的すれ違い咬合であることから、残存歯の突き上げによる支台歯への負担が大きい |
| 費用 | 上顎アタッチメント使用の金属床部分入れ歯:81.5万円 下顎目立たない金属バネ使用の金属床部分入れ歯:77.5万円 |
症例3:70代男性/下の差し歯がとれた・おいしく食事がしたい
初診時


前処置後


義歯装着後


| 治療概要 | 保存不可の下顎残存歯の抜歯後、即時治療用義歯を用いながら残存歯の歯冠補綴処置を行って、下顎EK DentureBaseを用いた軟性裏装全部床義歯を装着した |
|---|---|
| 入れ歯の種類 | EK DentureBase床を用いたやわらかいソフトな総入れ歯 |
| 治療期間 | 12ヶ月 |
| 治療回数 | 14回 |
| リスクと副作用 | 下顎シングルデンチャーであることから、下顎残存顎堤への負担が大きい |
| 費用 | 治療用総入れ歯:44万円 EK DentureBase床総入れ歯:71.5万円 |
症例4:40代女性/上の入れ歯が割れた・入れ歯だと気づかれたくない
初診時



前処置後



義歯装着後



| 治療概要 | 上顎フラビーガム切除、下顎歯周基本治療と保存修復処置を行って、上顎無歯顎に対する全部床義歯、下顎両側臼歯欠損に対する部分床義歯を装着した |
|---|---|
| 入れ歯の種類 | 上あご総入れ歯と下あご目立たない部分入れ歯 |
| 治療期間 | 3ヶ月 |
| 治療回数 | 6回 |
| リスクと副作用 | 下顎前歯部残存であることから、上顎前歯部残存顎堤への負担が大きい |
| 費用 | 上顎レジン床総入れ歯:61万円 下顎目立たない部分入れ歯:66万円 |
症例5:70代女性/下の入れ歯が痛い・痛くなく食事がしたい
初診時(旧義歯)






新義歯装着後






| 治療概要 | 上顎無歯顎に対するチタン床全部床義歯、下顎無歯顎に対する軟性裏装全部床義歯を装着した |
|---|---|
| 入れ歯の種類 | 上あご金属チタン床と下あごEK DentureBase床を用いたやわらかいソフトな総入れ歯 |
| 治療期間 | 2ヶ月 |
| 治療回数 | 5回 |
| リスクと副作用 | 人工歯に陶歯を使用していることから、人工歯の破折する可能性がある |
| 費用 | 上顎金属チタン床・陶歯使用総入れ歯:74万円 下顎EK DentureBase床・陶歯使用総入れ歯:74万円 |
よくある質問
入れ歯って本当にしっかり噛めますか?
はい。それぞれのお口の状況に合わせた入れ歯を選択し、噛み合わせの調整を充分に行うことで、しっかりと噛めるようになります。
バネなしの入れ歯は保険適用されますか?
ノンクラスプデンチャーなどの審美性の高い入れ歯は保険適用外(自由診療)となります。
入れ歯の寿命はどのくらいですか?
お口の状況や入れ歯の使用状況にもよりますが、5~7年が目安です。定期的な点検で長持ちさせることが可能です。
入れ歯は寝ているときもつけたままで良いですか?
基本的に就寝時は入れ歯を外して、お口の中を休ませてあげるのが理想的です。
修理や調整はすぐにできますか?
はい。当院では迅速に対応できる体制を整えております。お気軽にご相談ください。
入れ歯の素材って選べますか?
はい。当院では金属床、やわらかい形状記憶樹脂、ノンクラスプなど、さまざまな素材から選べます。
食事のときは外さないといけませんか?
いいえ。入れ歯の設計にもよりますが、基本的には装着したままで大丈夫です。食後の清掃は忘れずに行ってください。
入れ歯は何歳から作れますか?
年齢制限はありません。近年、若い方の部分入れ歯も増えています。
調整に通う回数はどのくらいですか?
お口の状況によって異なりますが、装着後に2~3回程度の調整が行われることが多いです。
ご予約・お問い合わせ方法
入れ歯治療をご希望の方は、まずはお気軽にカウンセリング(無料相談)をご予約ください。専門スタッフが丁寧に対応いたします。
- お電話でのご予約:022-302-5173
- メール:お問い合わせフォームをご利用ください!
- 予約フォームからも24時間受付中!
「どの入れ歯が自分に合うのか分からない」とお悩みの方も、カウンセリングを実施しておりますので、お気軽にお問い合わせください。
まとめ
自然で快適な入れ歯なら当院にお任せください
入れ歯は見た目や使い心地だけでなく、食事や会話、そして人生の豊かさに大きな影響を与えます。当院では、見た目も自然で快適に使える「目立たない入れ歯」や「バネなし入れ歯」、「やわらかくソフトな入れ歯」など、患者さんお一人おひとりに向き合って、最適な入れ歯治療をご提案しています。
「噛める喜び」「笑える安心感」「快適な生活」を取り戻したい方は、ぜひ一度ご相談ください。経験豊富な院長、優しい歯科衛生士、タフな歯科技工士がチームを組んで、あなたの毎日をもっと快適にするためのサポートを全力で行います。
「ずっと悩んでいたけど、思い切って相談して良かった」、「もっと早くやっておけばよかった」そんな嬉しい声を、あなたにも届けたいと思います。まずは、お気軽に無料相談へお越しください。

